Unser Prophylaxe-Konzept
Mit Vorsorgemaßnahmen schützen Sie Ihre Zähne effektiv vor Erkrankungen. Dr. Lottbrein M.Sc. und das Praxisteam unterstützen Sie dabei. Im Zentrum einer modernen Prophylaxe: Die Professionelle Zahnreinigung.
In kaum einer anderen medizinischen Disziplin ist es so einfach und schmerzfrei möglich, Erkrankungen wirkungsvoll vorzubeugen.
Neben der täglichen häuslichen Zahnpflege kommt der Professionellen Medizinischen Zahnreinigung (PMZR)
in der Zahnarztpraxis dabei die wichtigste Rolle zur Erhaltung der lebenslangen Mundgesundheit zu. PMZR ist die ideale Ergänzung zur häuslichen Mundhygiene, wenn sie, in Abhängigkeit vom individuellen Erkrankungsrisiko, regelmäßig durchgeführt wird.
Denn die häusliche Zahnpflege reicht allein selten aus, um wirklich alle bakteriellen Beläge von den Zähnen und vor allem aus den Zahnzwischenräumen zu entfernen. Durch die Bakterienreduktion wird wissenschaftlich belegt ein wichtiger Beitrag zur Vorbeugung von allgemeinmedizinischen Erkrankungen wie Diabetes, Herz-Kreislauferkrankungen bis hin zur Vermeidung von Frühgeburten geleistet.*
In fünf Schritten verhelfen wir Ihnen zu einer sehr guten Mundgesundheit. Bei unseren besonders geschulten Prophylaxefachkräfte sind Sie in guten Händen.
* Wissenschaftliche Literatur: Deutsche Gesellschaft für Parodontologie e.V. (Herausgeber): "Parodontitis 2010 - Das Risikokompendium". Quintessenz-Verlag, Berlin u.a. 2010

Die Professionelle Medizinische Zahnreinigung (PMZR) schützt vor Karies, Parodontitis, Mundgeruch und Allgemeinerkrankungen.
Zur Vorbeugung gegen Erkrankungen und um zu vermeiden, dass eine Parodontitis weiter fortschreitet, ist eine gründliche Mundhygiene essenziell. Hilfsmittel wie
- Zahnseide,
- Zahnzwischenraumbürsten
- und Mundspülungen
sind eine gute Möglichkeit, Ihre häusliche Mundpflege zu optimieren. Wir beraten Sie gerne, wie Sie Ihre Zahn- und Mundhygiene noch verbessern können. Fragen Sie einfach nach!
Die fünf Schritte der Professionellen Medizinischen Zahnreinigung (PMZR)
Schritt eins
Am Anfang der PMZR steht eine gründliche Untersuchung des Gebisses. Dies beinhaltet eine umfassende dreidimensionale Befundaufnahme über verschiedene Indices zur Darstellung der jetzigen Situation Ihres Zahnhalteapparates.
Nur so kann ein permanentes Monitoring, d.h. eine Kontrolle jedes einzelnen Zahnes über einen langen Zeitraum hinweg, durchgeführt, und bei Bedarf eine sofortige Intervention bei Verschlechterung der Situation eingeleitet werden.
Schritt zwei
Dabei werden die Beläge auf den Zahnoberflächen, in den Zahnzwischenräumen und in den Zahnfleischtaschen mit speziellen Instrumenten entfernt. Gerade diesen Bereich erreicht man beim Zähneputzen zu Hause nur schwer!
Auch Verfärbungen von Kaffee, Tee oder Zigarettenkondensat sind nach dem Einsatz von Spezialinstrumenten, z. B. eines Pulverstrahlgeräts (Air-Flow®), in der Regel verschwunden.
Schritt drei
Nun sind die Zahnaußenflächen an der Reihe. Mit speziellen Polierkelchen und einer besonderen Paste werden sie poliert, weil sie häufig eher rau und uneben sind – und deshalb einen idealen Nährboden für Bakterien darstellen. Sind sie glatt und sauber, wird auch hier möglichen Erkrankungen vorgebeugt.
Schritt vier
Um Ihre Zähne nachhaltig vor Säure und Bakterien zu schützen, werden sie zum Schluss fluoridiert.
Schritt fünf
Tipps zur zahngesunden Ernährung und wie Sie Ihre häusliche Mundhygiene optimieren können, runden die professionelle Zahnreinigung ab.
Ergebnis
Ihre Zähne sind heller, glatt und sauber - und wie Ihr Zahnfleisch nachhaltig vor Erkrankungen geschützt.
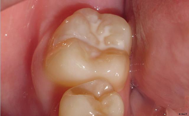
Fissurenversiegelungen
Die kleinen Furchen - die „Fissuren“ – in den Backenzähnen können mit einer Versiegelung vor Karieserkrankungen geschützt werden.
Nachdem die Fissuren sorgfältig gereinigt wurden, werden sie mit einem zahnfarbenen Kunststoff verschlossen. Danach lassen sie sich leichter bei der häuslichen Mundhygiene pflegen und Ihre Backenzähne erkranken seltener an einer Karies.
Brechen bei Kindern, meistens im Alter zwischen fünf und sieben Jahren, die ersten bleibenden Backenzähne durch, ist der Zeitpunkt für eine Fissurenversiegelung ideal. Frühzeitig durchgeführt, bewirkt sie bei Kindern einen nachhaltigen Kariesschutz und reduziert die Gefahr, an einer Karies zu erkranken.

Fissurenversiegelung an einem Backenzahn
Kariesrisiko-Tests
Sie möchten wissen, ob bei Ihnen oder Ihren Kindern Karieserkrankungen begünstigt sind, damit eine geeignete Prophylaxe abgestimmt werden kann? Ein Kariesrisikotest ist dazu eine hervorragende Maßnahme.
Liegen zwei bestimmte Bakterienarten vermehrt in Ihrer Mundhöhle vor – Streptococcus mutans und Laktobazillen – ist es wahrscheinlich, dass Sie und Ihre Kinder besonders gefährdet sind, an einer Karies zu erkranken. Sollten wir dies feststellen, gehen wir mit auf Sie abgestimmten prophylaktischen Maßnahme gegen eine mögliche Erkrankung vor.
Parodontitisrisiko-Tests
Ganz unkompliziert, aber mit großer Wirkung in Vorsorge und Therapie: ein Parodontitis-Risiko-Test.
Wann ist ein Parodontitis-Risiko-Test sinnvoll?
Der Zahnfleischtasche kommt bei der Erkrankung an einer Parodontitis eine besondere Bedeutung zu: So, wie der Arzt aus dem Blutbild eine umfassende Übersicht erhält, identifiziert der Zahnarzt durch eine mikrobiologische Untersuchung der Erbsubstanz (DNA) der Bakterien in der Sulcusflüssigkeit die Besiedlung der Zahnfleischtasche mit gefährlichen Keimen.
Die Untersuchung und der Nachweise dieser Bakterien durch einen DNA-Test, den „genetischen Fingerabdruck“, sind deshalb zentraler Bestandteil der Einschätzung Ihres persönlichen Parodontitisrisikos. Alle Maßnahmen zur Vermeidung und Ausschaltung Ihrer Risiken bauen darauf auf.
Vorsorge:
Muss bei Ihnen zum Beispiel eine Zahnfleischentzündung behandelt werden, kann dieser Test empfehlenswert sein. Bei manchen entwickelt sich aus einer solchen Entzündung rascher eine Parodontitis als bei anderen.
Ein Elternteil hat Parodontitis? Die genetischen Anlagen könnten bei Ihnen vorhanden sein, auch wenn Sie noch nicht daran erkrankt sind. Persönlich auf Sie abgestimmte Vorsorgemaßnahmen sind eine sehr gute Möglichkeit, eine Parodontitis auf lange Sicht zu umgehen.

Bakterien in Zahnbelägen und Zahnfleischtaschen können die Gesundheit gefährden. Regelmäßige Professionelle Medizinische Zahnreinigung verringert das Risiko.
Therapie:
Sie sind bereits an einer Parodontitis erkrankt?
Dann dient der Test nicht als Vorsorgemaßnahme, sondern als Stütze für die Therapie: Die Behandlung können individuell auf Sie ausgerichtet werden, wenn wir wissen, wie viele Bakterien und welche Bakterienarten in Ihrer Mundhöhle vorhanden sind.
Wie funktioniert’s?
Eine Probe aus mehreren Zahnfleischtaschen wird ins Labor geschickt. Dort werden, wie beim Kariesrisikotest, die dort vorhandenen Mundhöhlenbakterien und deren Menge untersucht. Stellt sich aufgrund der vorhandenen Bakterienanzahl heraus, dass eine Erkrankung bei Ihnen begünstigt ist, wird mit Ihnen eine langfristige Behandlung abgestimmt.
Lesen Sie jetzt unsere Tipps zur zahngesunden Ernährung!